CHIRURGIE-ORTHOPEDIQUE.BE
Colonne
Epaule
Bras / Avant-bras
Main
Bassin / Hanche
Jambe
Genou
Pied
Autres
Pied

DIAGNOSTIC ET TRAITEMENT DES
SYNOSTOSES DU TARSE

(Revue de la littérature récente - Dr. Pierre Maldague)

INTRODUCTION

GENERALITES

 

Formes rudimentaires

Le bec calcanéen long

PRESENTATION CLINIQUE
 

Douleur

Déformation du pied et contracture des tendons fibulaires

Symptômes divers

EXAMENS COMPLEMENTAIRES
 

APPROCHE THERAPEUTIQUE
 

CONCLUSION


BIBLIOGRAPHIE


 

 

 

 

 

 

 

 

 

 

 

 

 

 

 

 

 

 

 

 

 

 

 

 

 

 

 

 

 

 

 

 

 

 

 

 

 

 

 

 

 

 

 

 

 

 

 

 

 

 

 

 

 

 

 

 

 

 

 

 

 

 

 

 

 

 

 

 

 

 

 

 

 

 

 

 

 

 

 
 
INTRODUCTION

Notre intérêt pour les synostoses a été éveillé il y a quelques années par la découverte de quelques cas d’atteinte calcanéo-naviculaire et talo-calcanéenne. Guidé par notre maître de l’époque, nous avions effectué notre première résection et suivi les progrès cliniques du patient.

Fort de cette expérience, nous avons par la suite diagnostiqué et traité plusieurs autres cas avec succès.

Un jour nous avons été confronté à un jeune patient qui présentait une double synostose bilatérale. Au CT-scan, les ponts paraissaient bien localisés et limités. L’indication d’une résection fut posée. Malheureusement, l’exploration révéla une synostose talo-calcanéenne très étendue et fort difficile à délimiter ainsi qu’une barre calcanéo-naviculaire qui plongeait sous le talus. La résection fut incomplète pour un des deux pieds et l’indication considérée comme inadéquate à posteriori. Le CT-scan nous avait induit en erreur.

Deux autres cas de synostoses calcanéo-naviculaires nous ont également appris qu’il existe une variabilité dans ces ponts d’union. Certains sont étroits et bien limités, d’autres sont fort larges et s’étendent sous le col et la tête du talus, ce qui rend leur résection difficile. Or, les ouvrages classiques de chirurgie orthopédique ne font pas mention de cette variabilité.

Ce travail est donc l’occasion pour nous de mieux comprendre la problématique clinique et chirurgicale des synostoses du tarse.

Nous nous attacherons d’abord à les définir et à dresser un tableau général de ces lésions.

Ensuite, nous tâcherons de brosser un tableau clinique en recherchant les symptômes et signes les plus pertinents qui devraient attirer l’attention du médecin. Ceci étant fait, nous essayerons de montrer comment les examens complémentaires peuvent venir confirmer la présence d’une synostose et permettre de la caractériser.

Enfin, nous essayerons, au travers d’une revue de la littérature récente, de rassembler les résultats des études publiées à propos du traitement de ces anomalies du tarse. Nous tenterons de les analyser et de tirer les lignes directrices permettant de poser les indications thérapeutiques tant conservatrices que chirurgicales.

Note : Ce travail étant basé principalement sur une revue de la littérature des vingt dernières années, peu d’articles plus anciens ont été réellement consultés. Néanmoins, certains articles ou résultats jugés particulièrement importants ou cités systématiquement sont mentionnés et leur référence est alors reprise en bas de page. Tous les articles que nous avons lus sont regroupés dans la bibliographie à la fin de ce travail.

GENERALITES

1. Définition

Les barres tarsiennes sont des anomalies morphologiques du pied caractérisées par la persistance de ponts d’union entre certains os, particulièrement au niveau de l’arrière-pied et du médiotarse, et entraînant un défaut de mobilité de ces os.

Plusieurs classifications sont possibles selon que l’on s’intéresse à la nature du pont, à sa localisation, intra- ou extra-articulation, ou aux os qui sont reliés entre eux.

Selon le type de pont on peut distinguer 3 formes :

- les ponts osseux : ce sont des synostoses

- les ponts cartilagineux : ce sont des synchondroses

- les ponts fibreux : ce sont des syndesmoses.

ROUVREAU (52) parle de barres complètes lorsqu’elles sont totalement ossifiées, d’incomplètes lorsqu’elles ne sont pas ou incomplètement ossifiées, et de rudimentaires lorsqu’il n’existe pas de véritable pont entre les os, mais une variante anatomique qui entraîne des symptômes analogues.

Pour notre part, dans un souci de simplification, nous parlerons de barre, de synostose ou de coalition tarsienne pour décrire ces ponts d’union quel qu’en soit le type, la localisation, l’étendue ou la nature.

Les synostoses du pied sont connues depuis longtemps. La première description aurait été faite par BUFFON en 1769, puis par CRUVEILHIER en 1829. Depuis, de nombreux articles ont été publiés, mais c’est à HARRIS et BEATH qu’il revient d’avoir popularisé le sujet en publiant en 1948 une large étude épidémiologique.


Retour au sommaire

2. Localisation et fréquence

Les synostoses peuvent siéger entre tous les os du pied. Pratiquement, tous les types de pont ont été décrits (61,52,46,19,24,8). Cependant, les formes talo-calcanéennes (TC) et calcanéo-naviculaires (CN) rendent compte de 80 à 90 % des synostoses diagnostiquées. (61,52,26). La proportion de ces deux types de coalition varie beaucoup d’une étude à l’autre, mais on retrouve le plus souvent 50 % de chaque type.

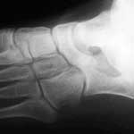
Dans les synostoses CN, on observe un pont entre le bord latéral du naviculaire et le processus antérieur du calcanéum (Fig. 1-a).

Sur le plan anatomique, on se souviendra que le calcanéum présente 3 facettes (antérieure, moyenne et postérieure) qui s’articulent avec les surfaces articulaires correspondantes du talus pour former l’articulation sous-talienne (Fig. 2). SARRAFIAN (55) a montré qu’il existait des variantes anatomiques au niveau de cette articulation (Fig. 3).

Dans 67 % des cas, les facettes antérieure et moyenne sont continues, un simple rétrécissement permettant de les distinguer. De plus, l’articulation antéro-médiale est en continuité avec l’articulation talo-naviculaire (69).

Dans les synostoses TC, l’atteinte de l’articulation sous-talienne peut concerner toutes les facettes. Cependant, dans la grande majorité des cas, c’est la facette moyenne(Fig. 1-b) qui est atteinte (13,49,68) parfois en combinaison avec d’autres. Les atteintes de la facette postérieure sont peu fréquentes et celles, isolées, de la facette antérieure, exceptionnelles.

En 1998, KUMAI (30) publie une série de 125 cas (198 pieds) dans laquelle il observe 40 (30.3 %) synostoses naviculo-cunéiformes (v. tableau 1 p. 9). Cette étude concerne essentiellement des sujets d’origine japonaise. Cette fréquence inhabituelle pourrait être d’origine ethnique. Les auteurs pensent cependant que ce type de synostose est moins rare qu’on ne l’a cru. Le diagnostic posé serait le plus souvent celui d’arthrose en raison de la similitude des plaintes et de l’aspect radiologique de ces barres. De plus, ces ponts étant beaucoup moins symptomatiques et l’apparition des plaintes plus tardive, leur fréquence serait sous-estimée. Histologiquement, le dos de l’articulation est généralement conservé, la synostose étant plantaire et fibreuse, ce qui complique sa mise en évidence.

Il faut noter que les séries américaines ne relèvent pas de différence ethnique entre population blanche et noire.

La plupart des auteurs s’accordent sur une fréquence de 1 à 2 % (35,52,28,33), l’atteinte est bilatérale dans 40 à 60 % des cas selon les séries (35,52,62,23). Aucun ne rapporte de prédominance masculine ou féminine.

VAUGHAN et SEGAL ont effectué un bilan radiologique auprès de 2000 recrues et trouvé une synostose dans 1 % des cas.

De nombreuses études ont cependant montré que la radiologie conventionnelle présentait de nombreuses limites dans le diagnostic des synostoses surtout au niveau de l’articulation sous-talienne. STORMONT et PETERSEN sur une série de synostoses CN signalent que 10 cas ont été des diagnostics chirurgicaux. Le bilan radiologique était négatif dans 30 % des cas.

Enfin, DUTOIT et coll., ROGER et MEARY (51) et ROUVREAU et coll. (52) mentionnent aussi respectivement 3, 10 et 7 cas de diagnostic peropératoire malgré un bilan radiologique complet (l’usage de tomographies, CT-scan et IRM ne concernait que quelques cas).

HARRIS et BEATH trouvent 2 % de pied plat avec contracture des péroniers chez 3600 recrues. COOPERMANN (14) examine 2982 squelettes de la collection du musée de Cleveland et trouve 37 synostoses CN (1,2 %), mais il ne mentionne pas la présence d’autre localisation.

Certaines études trouvent un pourcentage plus élevé de synostoses. SOLOMON (57), dans un travail combinant un examen par CT-scan et la dissection de 100 pieds de cadavre, trouve 12,72 % de synostoses dont 9 sont CN. Il constate que le CT-scan n’a mis en évidence que 55 % des barres. Il conclut que les études cliniques ne diagnostiquent que les cas symptomatiques, les autres seraient beaucoup plus fréquents et constitueraient dès lors une variante anatomique classique.

Les atteintes multiples d’un même pied sont fréquentes. CLARKE (10)en trouve

20 % dans une étude par CT-scan faite chez 30 patients atteints de coalition tarsienne.

Il conseille donc de les rechercher systématiquement, leur fréquence étant probablement plus élevée que ne le montraient les études recourant à la seule radiologie conventionnelle.

La fréquence du type histologique de synostose est très difficile à apprécier car il varie beaucoup d’une étude à l’autre. Sur le plan thérapeutique cette incidence semble de peu d’intérêt, la plupart des études récentes n’ayant pas montré de différence de résultat entre les formes ossifiées et non ossifiées.

Retour au sommaire

- Formes rudimentaires

Dans l’article publié en 1955, HARRIS décrit 14 cas de formes rudimentaires de découverte peropératoire. Il ne s’agissait pas de véritable barre, mais plutôt de bloc osseux descendant du corps du talus vers la face médiale du calcanéum sans s’y fusionner ou remontant du calcanéum vers la face médiale du col du talus. ROGER et MEARY (51) mentionnent un cas similaire mais aucune autre étude consultée ne fait plus mention de ce type de variante.

- Le bec calcanéen long

BLOCKEY, HARRIS, ROGER et MEARY (51) mentionnent l’existence d’une forme rudimentaire que HARDY et POULIQUEN (25) décrivent comme un bec calcanéen trop long et responsable d’une symptomatologie identique à celle des synostoses CN.

LASDAY (34) confirme l’existence de cette anomalie, qu’il appelle « functional coalition ».

Selon TACHDJIAN, le processus antéro-médial du calcanéum est court et arrondi, restant à une distance de 5 à 10 mm du naviculaire. Dans certains cas, il est trop long et s’insinue entre la tête du talus et le cuboïde allant presque jusqu’à toucher le naviculaire (Fig. 4). POULIQUEN (48) suggère qu’il s’agit d’un défaut de régression mésenchymateuse qui conduit en principe à la séparation des os du tarse durant la vie embryonnaire. Dans ces conditions, un mouvement de supination crée un effet de casse-noix, le processus long étant pincé entre ces deux structures osseuses (48).

L’exploration chirurgicale confirme l’invagination du processus jusqu’à toucher le naviculaire en particulier dans les mouvements de supination. Dans 8 cas sur 25, POULIQUEN trouve des lésions cartilagineuses au pôle caudo-latéral de la tête du talus. Ce processus, qui occupe l’espace cuboïdo-talien, gêne la mobilité (34) et produit les mêmes symptômes qu’une synostose CN (25,52,48,34). Ceux-ci apparaissent vers l’âge moyen de 13.6 ans avec une prédominance féminine que POULIQUEN attribue à une plus grande laxité favorisant les traumatismes en inversion responsables de lésions cartilagineuses locales et des raideurs et douleurs qui en découlent. Le diagnostic peut être fait sur une incidence ¾ externe ou oblique dorso-plantaire déroulée du pied. Le critère utilisé est une distance processus-naviculaire inférieure à 5 mm (25,48) (v. Fig. 9-d p.12). Le traitement est identique aux autres synostoses. Il est le plus souvent conservateur au départ. En cas d’échec, la résection du processus laissant un espace libre d’un centimètre est effectuée par voie dorso-latérale classique et redonne au pied des mouvements d’une plus grande amplitude (25). Sur 25 cas opérés, POULIQUEN rapporte 23 bons résultats avec un recul moyen de 5 ans et 6 mois.

La fréquence des formes familiales ou bilatérales, l’association à d’autres synostoses et la communauté clinique et thérapeutique amènent les auteurs à penser qu’il s’agit d’une anomalie congénitale assimilable aux synostoses (25,52,48,34).

Nous n’avons, pour notre part, aucune expérience de cette entité pathologique. Les critères radiologiques nous semblent d’interprétation délicate. Il est regrettable que la littérature anglo-saxonne soit si pauvre à ce sujet. Il est en effet surprenant, vu le nombre de cas rapportés par l’équipe de POULIQUEN et coll., qu’aucune autre étude importante n’ait été publiée. De plus, si la fréquence de cette entité est bien réelle, l’incidence des synostoses au sens large s’en trouverait nettement augmentée. Quoiqu’il en soit, leurs résultats nous interpellent et nous pousseront à rechercher systématiquement cette variante anatomique.

Retour au sommaire

3. Etiologie et hérédité

Talus, calcanéum, naviculaire et cuboïde se forment par segmentation d’un bloc tarsien commun. Le processus d’ossification du mésoderme débute vers la neuvième semaine et se poursuit jusqu’au 7ème mois (25).

L’hypothèse d’un défaut de segmentation des os du pied à l’origine des synostoses a été avancée par de nombreux auteurs.

En 1955, HARRIS publie une étude anatomique sur embryon. Sur 20 embryons âgés de 9 à 13 semaines, elle trouve 4 cas présentant au total 6 synostoses, et se demande combien de ces variantes persisteront à la fin du développement embryonnaire et combien constituent une étape du développement (Fig.5). KAWASHIMA montre également une forte proportion de ponts mésenchymateux et cartilagineux entre la 8ème et la 9ème semaine embryonnaire.

Les synostoses peuvent être isolées (essentielles) ou entrer dans le cadre d’un syndrome polymalformatif (syndrome d’APERT, de NIEVERGELT-PEARLMAN, associé au pied bot ou à d’autres malformations).

Dans d’autres cas, les synostoses sont secondaires à une infection, un traumatisme ou iatrogènes.

Seules les synostoses essentielles font l’objet de ce travail.

Le caractère familial des synostoses est rapporté par la plupart des auteurs.

En 1974, LEONARD publie une étude dans laquelle il observe 98 parents au premier degré de 31 personnes atteintes de pied plat spastique et de coalition tarsienne. Parmi ceux-ci, 39 % présentent une synostose à la radiographie mais tous sont asymptomatiques. Ces résultats et ceux d’autres études sont donc en faveur d’une hérédité à caractère autosomique dominante à pénétration réduite.

De plus, le travail de LEONARD joint aux résultats déjà mentionnés à propos d’études anatomiques, cadavériques et cliniques, ainsi qu’aux publications sur le bec calcanéen, donnent à penser que l’incidence réelle des synostoses est très probablement bien supérieure à celle rapportée dans les études cliniques qui ne mentionnent que les cas symptomatiques et diagnostiqués.

Retour au sommaire

PRESENTATION CLINIQUE

 

    1. Généralités

Typiquement, la symptomatologie débute dans la seconde décade (61,52,30,31,48,54,60,41) bien que certaines synostoses restent silencieuses jusqu'à l’âge adulte (diagnostic post-traumatique ou fortuit).

La figure 6, ci-contre, est un exemple classique de répartition des âges au moment du diagnostic dans une population d’adolescents (62 pieds (61)). Le délai dans l’apparition des symptômes est attribué par la plupart des auteurs à la plasticité et à la souplesse initiale des coalitions tarsiennes qui autoriseraient une certaine mobilité. La transformation et surtout l’ossification progressive des synostoses expliqueraient l’apparition progressive des symptômes.

D’après COWELL (48) et KUMAR (68), l’ossification des barres se produirait entre :

  • 3 et 5 ans pour les ponts talo-naviculaires
  • 8 et 12 ans pour les ponts calcanéo-naviculaires
  • 12 et 16 ans pour les ponts talo-calcanéens.

Ces valeurs, citées par la plupart des auteurs, doivent cependant être prises avec nuance. WARREN (68) rapporte notamment 2 cas de barre talo-calcanéenne ossifiée à l’âge de 6 et 10 ans.

 

 

D’autres facteurs contribuent probablement à l’apparition des symptômes :

  • l’accroissement des activités physiques à l’adolescence pourrait entraîner une augmentation des contraintes au niveau du pied.
  • l’importance des sollicitations au niveau de certaines articulations pourrait également expliquer le diagnostic plus tardif de certaines lésions.

L’étude de KUMAI publiée en 1996 (11) à propos de 40 patients majoritairement d’origine japonaise 60 pieds) se différencie des autres notamment par l’âge moyen de diagnostic, qui est de 31,2 ans (8-80 ans)(Fig. 7). Cependant, cette étude inclut de nombreux adultes (15 pieds) dont le diagnostic a été fortuit et un nombre inhabituel de synostoses cunéo-naviculaires dont l’âge au diagnostic (31,9 ans) est fort élevé (Tableau 1). Les auteurs attribuent cette différence à la faible mobilité de l’articulation cunéo-naviculaire ce qui la rend peu symptomatique.

Cette étude mise à part, l’âge moyen d’apparition des symptômes est de 11 à 13 ans dans les formes CN et de 13 à 18 ans dans les formes TC (61,52,31,48,60,23). Rappelons que certains diagnostics fortuits ont été faits en peropératoire chez des enfants plus jeunes avec bilan radiologique négatif (DUTOIT : 3 cas, ROGER et MEARY : 10 cas).

Le plus souvent, il existe un important délai entre le début des symptômes et le diagnostic. Le délai moyen est de 12 à 18 mois (9,52,31,). On peut l’attribuer au caractère progressif et insidieux de nombreux tableaux cliniques mais aussi à la rareté de l’affection et aux difficultés du diagnostic radiologique de certaines localisations.

Retour au sommaire

    1. Symptomatologie

La présentation type et quasi pathognomonique des synostoses est celle d’un pied plat valgus contracturé et douloureux apparaissant plus ou moins insidieusement chez un jeune adolescent par ailleurs en bonne santé.

Le tableau ci-dessous, repris de CHRESTIAN et coll. (9), nous a paru intéressant car il reflète bien les deux principaux modes de présentation clinique des coalitions tarsiennes. Les principaux symptômes seront détaillés ensuite.

 

TABLEAUX CLINIQUES (d’après CHRESTIAN et coll. (9), adapté et complété)

  1. Tableaux aigus :
  • pseudo-entorses à répétition de la cheville
  • douleur fulgurante du pied au cours d’une activité sportive ou d’un traumatisme et correspondant à la rupture de la synostose
  1. Tableaux chroniques parfois déroutants :
  • cheville douloureuse
  • douleurs diffuses du pied
  • pied plat valgus contracturé ou non
  • tuméfaction osseuse sous- ou rétro-malléolaire interne

Retour au sommaire

    1. Douleur

      La douleur est un symptôme extrêmement fréquent (30 à 100 % des cas selon les séries (61,64,52,30,31,48,41,15)). D’intensité variable, elle a un caractère mécanique. Elle est calmée ou absente au repos et majorée par la marche, surtout en terrain irrégulier (52), et les activités sportives (52,41,31,15). Bien qu’elle puisse être diffuse et vague, elle peut aussi être plus localisée à la colonne interne ou à la région dorso-latérale du pied dans les synostoses CN (52,30) ou à la région sous-talienne dans les synostoses TC (60).

      Le début peut être insidieux et progressif, ou plus brutal après traumatisme entraînant la rupture de la synostose (phénomène rare (9,60,)) ou une pseudo-entorse de la cheville.

      Ce dernier tableau est fréquent (30 à 40 % des séries) (25,52,31,48,63,54). Il s’agit le plus souvent d’un épisode traumatique survenant vers 11-12 ans et supposé être une entorse. La symptomatologie initiale est souvent modérée avec peu ou pas de douleur ni de gonflement au niveau de la cheville et du ligament latéral externe. L’évolution initiale est favorable, mais il persiste une gêne dans les activités sportives et à l’effort devenant progressivement invalidante dans la vie courante. L’examen clinique et le bilan radiologique de la tibio-tarsienne sont négatifs.

      Retour au sommaire

    2. Déformation du pied et contracture des tendons fibulaires

      La présence d’un pied plat valgus rigide et/ou contracturé est le second signe cardinal des synostoses. La fréquence est fort variable selon les séries (15 à 100 %) (61,52,31,23). Bien que quelques cas d’arrière pied varus aient été rapportés (52,58), c’est la position en valgus du talon qui est la plus fréquente. COWELL (15) observe que les symptômes sont plus sévères lorsque le talon est en valgus marqué que lorsqu’il reste aligné.

      La perte de mobilité concerne le plus souvent l’arrière pied et /ou le couple de torsion. Sa fréquence (30 à 100 %) (61,64,54,23) est fort variable de même que son importance. Dans certains cas, l’arrière pied est complètement bloqué et la perte de la prosupination importante.

      SWIONTOWSKI (60) signale que certains patients présentant une barre CN sans contracture des fibulaires ont peu ou pas de perte détectable de la mobilité sous-talienne. Il pense que ce type de coalition entraîne, par lui-même, peu de restriction mais que la perte de mobilité serait secondaire au spasme des fibulaires.

      Cette contracture des muscles fibulaires est fréquemment associée au pied plat rigide (20 à 100 % des cas) (61,52,31,41). Il ne s’agit pas d’une spasticité vraie comme on l’a pensé au début mais bien d’une contracture de défense ou d’un raccourcissement adaptatif destiné à placer le calcanéum en valgus et à maintenir l’articulation sous-talienne dans la position la moins douloureuse (15,42 ).

      MOSIER et coll. (41) rapportent que dans le pied plat contracturé, la douleur semble corrélée à la déformation en valgus de la sous-talienne et pourrait être due à des entorses et des hyper-sollicitations ligamentaires. La levée de la contracture par bloc loco-régional réduit la douleur mais ne la supprime pas totalement. C’est l’injection d’anesthésique dans le sinus du tarse qui permet de lever la douleur résiduelle.

      Dans les synostoses, la douleur serait donc due à l’association d’entorses ligamentaires, d’une contracture des fibulaires, d’une irritation du sinus du tarse et des articulations sous-taliennes ainsi qu’à des phénomènes dégénératifs articulaires (41).

      Rappelons que ROGER et MEARY (51) avaient trouvé 61 % de synostoses en regroupant 7 séries de pieds plats contracturés (187 cas au total). Ils concluaient que dans 2/3 des cas de pied contracturé de l’adolescent, il existait une synostose. Le diagnostic différentiel des autres causes de pied plat contracturé peut s’inspirer du tableau 2 , emprunté à MOSIER et coll. (41).

      Retour au sommaire

    3. Symptômes divers

Comme nous l’avons dit, le tableau clinique des synostose est extrêmement varié et polymorphe.

Certains signes comme la tuméfaction sous malléolaire médiale et le syndrome du canal tarsien sont spécifiques aux synostoses TC (Tableau 3).

Enfin, dans plusieurs séries, le diagnostic de certains cas est fortuit et consécutif à un bilan radiologique sans relation ou à une exploration chirurgicale avec bilan préopératoire négatif.

Retour au sommaire

  1. Diagnostic et tests cliniques

Le contexte général et les tableaux cliniques souvent insidieux des synostoses imposent une anamnèse soigneuse s’attachant à préciser le mode de début des plaintes et leur évolution, en particulier le rythme et la localisation des douleurs, en évitant de se laisser piéger par le diagnostic trop simple d’entorse. L’interrogatoire doit être complété par une anamnèse familiale au vu du caractère héréditaire de l’affection.

L’examen clinique doit inclure un examen en station, la palpation des zones de synostose et la recherche des mobilités passives et actives.

L’examen en station doit permettre de caractériser la position de l’arrière pied et de l’arche interne, et d’évaluer son retentissement sur la marche.

Plusieurs auteurs (25,52,48,41) ont insisté sur la palpation des zones de coalition à la recherche d’une douleur élective reconnue par le patient.

MOSIER (41) conseille de palper fermement la région dorso-latérale du pied au niveau de l’espace calcanéo-naviculaire (CN) et la facette moyenne de l’articulation sous-talienne située juste distalement par rapport à la malléole médiale (TC). Ce testing peut être sensibilisé par un mouvement de supination du pied en cas de suspicion d’un bec calcanéen long (48).

La recherche des mobilités passives permet d’apprécier la raideur relative de la sous-talienne et du médio-tarse et leur retentissement sur le mouvement de prosupination. Ces gestes permettent généralement la mise en évidence de la contracture des fibulaires qui peut être permanente ou seulement dynamique dans les formes débutantes.

Le test de mise sur la pointe des pieds est considéré comme très fiable par plusieurs auteurs (9,54,15). En cas d’intégrité tendineuse et neurologique, le tendon d’Achille, lors du passage sur la pointe des pieds, attire le talon en varus. L’absence de varisation ou la persistance d’un valgus est un signe diagnostique très fiable d’une synostose de l’arrière pied (54). KOEWEIDEN et coll. ont utilisé une variante de ce test en mesurant la rotation latérale de la rotule lors du mouvement de supination du pied (rotation latérale du tibia). En comparant 9 cas de synostose à 60 pieds normaux, ils obtiennent une rotation de 8,4° dans le premier groupe et de 27° dans le second, ce qui témoigne d’une limitation de la mobilité du tarse.

En conclusion, l’association de douleurs, d’une déformation en valgus du talon et d’une raideur de l’arrière pied, constituant un pied plat valgus rigide douloureux avec ou sans contracture des fibulaires, est une entité clinique très suspecte d’une coalition tarsienne et impose un bilan complémentaire complet et soigneux.

Retour au sommaire

  1. EXAMENS COMPLEMENTAIRES

 

Jusqu’au début des années 80 et l’avènement du CT-scan, c’est à la radiologie conventionnelle que revenait le rôle de diagnostiquer formellement et de caractériser les synostoses. Depuis, si elle garde un rôle important, c’est le CT-scan qui est devenu le « gold standard » du dépistage et surtout le meilleur moyen de préciser la nature et l’étendue des ponts d’union, en particulier au niveau TC.

L’apparition de la RMN a fait espérer un progrès dans le diagnostic de certaines formes difficiles et la distinction entre les formes cartilagineuses et fibreuses. Il nous semble cependant qu’aucune étude consultée ne fait état d’une véritable révolution diagnostique ni ne démontre une réelle supériorité de l’IRM sur le CT-scan.

 

  1. Radiologie conventionnelle

    L’apport de la radiologie conventionnelle est de mettre directement en évidence la synostose (signes directs) ou de révéler une série de variations morphologiques dont certaines sont en relation plus ou moins directe avec des troubles de la mobilité du pied, y compris les lésions de coalition du tarse.

    1. Signes directs ou mise en évidence des synostoses

Tout patient suspect de synostose du tarse sera d’abord exploré par 3 incidences : face, profil et incidence ¾ externe ou spéciale « oblique » à 45°.

L’incidence de face montre l’abduction de l’avant-pied (31) Elle dépiste les rares barres cunéo-naviculaires et calcanéo-cuboïdiennes (15), et permet d’exclure d’autres causes de contracture des fibulaires comme les tumeurs.

Le cliché de profil en charge est fort utile. Il permet de mettre en évidence plusieurs signes secondaires( Fig.11 et 12), mais doit être interprété avec prudence et de manière comparée. Les rares synostoses de la facette postérieure et de l’os trigone peuvent parfois s’observer sous la forme d’une masse localisée (28).

L’incidence oblique est la meilleure pour rechercher les barres CN (Fig.1 et 9). Elle est réalisée à 45°, mais peut être complétée par d’autres clichés d’obliquité quelque peu différente afin de supprimer des superpositions trompeuses (46,15).

La présence d’une barre peut être attestée par :

  • l’existence d’un pont osseux plus ou moins complet et régulier (Fig.9-a et b);
  • un aspect de « pseudarthrose » avec des berges condensées, irrégulières et/ou une sclérose corticale entre le processus antéro-médial du calcanéum et la partie latérale de l’os naviculaire (46) (Fig.9-c);
  • la présence d’un processus volumineux ou trop long s’insinuant à moins de 5 mm du naviculaire associé à des signes secondaires et à une clinique évocatrice feront suspecter un « bec calcanéen long » (25) (Fig.9-d).

Ce bilan est fréquemment suffisant en particulier dans les formes CN (56 diagnostics sur 68 cas dans le travail de ROUVREAU (52) et 100 % des cas dans celui de GONZALEZ (23)).

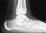
Par contre, il est souvent insuffisant dans les formes TC. Il est alors utile de réaliser une incidence axiale postérieure de l’arrière pied décrite par KORVIN en 1934 et popularisée par HARRIS et BEATH. Elle permet de visualiser directement la synostose de la facette moyenne ou met en évidence une série de signes secondaires très évocateurs :

  • élargissement ou hypoplasie du sustentaculum tali ;
  • obliquité et inclinaison caudale de la facette moyenne qui normalement est parallèle à la facette postérieure. Si cette inclinaison est > à 25° par rapport à la facette postérieure, il s’agit d’un signe de certitude (15) ;
  • pincement et irrégularités de l’interligne articulaire.

Cette incidence est la plus fiable pour le diagnostic des synostoses TC (54) mais ne permet pas le dépistage de tous les cas. Elle est aujourd’hui largement supplantée par le CT-scan et l’IRM dans cette indication.

Retour au sommaire

    1. Signes secondaires

Comme leur qualificatif l’indique, ces signes radiologiques ne sont pas pathognomoniques des synostoses. Leur présence est liée à l’existence de troubles de la mobilité, principalement de l’articulation sous-talienne ou du médio-tarse, d’anomalies morphologiques, de troubles statiques ou dynamiques ou encore d’atteintes dégénératives. Toutes ces anomalies peuvent être liées à une synostose, ce qui explique leur association possible à cette pathologie. Certains de ces signes sont assez fréquents (1 à 5) ; d’autres sont beaucoup plus rares (6 à 10).

 

Signes radiologiques secondaires :

  • le « C-sign » ou signe de l’anneau (10,70) ;
  • l’ostéophytose dorsale de la tête du talus ou « talar beak » (71,13,60,70,41,42) ;
  • the « anteater nose » ( Fig. 11);
  • l’absence de la visualisation de la facette moyenne sur l’incidence de profil;
  • le pincement de l’articulation sous-talienne postérieure (70) ;
  • l’arrondissement du processus latéral du talus ;
  • la brièveté du col du talus et son aspect en cupule (70,71) ;
  • la fracture de surcharge ou la pseudarthrose de la malléole médiale (51,70) ;
  • l’aspect en dôme et cupule ou « ball and socket » de la cheville (51,62) ;
  • l’hypotrophie de la malléole latérale et l’élévation du cartilage malléolaire latéral (51);
  • valgus et bascule de l’astragale dans la mortaise (51).
     

Retour au sommaire


a) Le signe de l’anneau ou « C-sign » 

Ce signe décrit par LATEUR (33) et l’équipe de la K.U.L. en 1994 est une ligne en forme de C formée par le bord médial du dôme talien et le bord caudal du sustentaculum tali sur une radiographie du pied de profil en charge (Fig.12). Dans une double étude rétrospective (18 cas) et prospective (15 cas), les auteurs montrent que ce signe radiologique est spécifique, dans 93,3 % des cas, de la présence d’une synostose TC. La sensibilité est de 86,6 %. La visibilité, l’importance et la régularité de ce signe varie en fonction de la forme et de la taille du sustentaculum tali. Ce signe est parfois fort discret ou absent en cas d’hypo- ou d’aplasie du sustentaculum. Dans l’étude prospective, 10 patients sur 15 avaient un signe positif mais sans point d’appel clinique, ce qui amène les auteurs à considérer qu’il s’agit du signe secondaire le plus fiable dans les synostoses TC.

Cet enthousiasme doit être nuancé par la découverte ultérieure de faux positifs liés à des pieds plats sévères et par le travail de BROWN (7), publié en 2001 dans lequel il observe que le signe de l’anneau est plus spécifique d’un pied plat que d’une synostose avec une sensibilité assez faible (33 %).

Retour au sommaire

b) L’ostéophyte dorsal de la tête du talus ou « talar beak »

C’est un signe fréquemment associé aux synostoses. Dans les anciennes publications, il était considéré comme pathognomonique d’atteintes articulaires dégénératives et donc péjoratif dans un contexte chirurgical. OUTLAND et HARRIS pensaient que cet ostéophyte était une exostose de contact. Plus récemment, ROGER et MEARY (51), SWIONTOWSKY (60), NEWMAN (42), MOSIER (41) et d’autres ont proposé une explication différente :

Pendant la marche, l’articulation sous-talienne a un double mouvement de glissement et de rotation. Lors de la flexion dorsale du pied, le calcanéum glisse en avant sous le talus probablement jusqu’à mise en tension des éléments capsulo-ligamentaires. A la fin de ce mouvement, il se produit un glissement vers le haut au niveau des articulations calcanéo-cuboïdiennes et talo-naviculaires. Enfin, la partie proximale du naviculaire se déplace légèrement en direction crâniale (enroulement) sur la tête du talus.

Lorsque l’articulation sous-talienne est bloquée (arthrodèse, synostose, par exemple), le jeu articulaire n’est plus possible.

Le mouvement de glissement de l’articulation médio-tarsienne est remplacé par un mouvement de charnière : en fin de flexion dorsale, l’articulation s’ouvre à sa partie plantaire et se pince à sa partie dorsale. En outre, le naviculaire effectue un mouvement de surplomb par rapport à la tête du talus. Les hyper-sollicitations capsulo-ligamentaires et le décollement répété du périoste du col du talus par l’angle crânial du naviculaire conduisent, par réparation et adaptation, à la formation de cet « ostéophyte ». Ce phénomène péri-articulaire (60) est donc le reflet d’une diminution de la mobilité sous-talienne, comme observé aussi dans d’autres pathologies que les synostoses (69). Il n’est pas nécessairement associé à des phénomènes dégénératifs et ne constitue donc pas un moyen prédictif ou un critère péjoratif en cas de geste chirurgical (60).

Retour au sommaire

c) Déformation en dôme et cupule ou « ball and socket joint »

La biomécanique de l’articulation sous-talienne est complexe et joue un rôle essentiel dans le cycle de la marche. L’axe oblique de cette articulation transforme la rotation tibiale (plan vertical) en une rotation du pied, prosupination, (plan horizontal) lui permettant de rester fixe pendant la phase d’appui. L’articulation sous-talienne contribuerait pour environ 10° à la rotation tibiale durant la phase d’appui. La perte de ce mécanisme essentiel contribue à augmenter les contraintes au niveau des articulations adjacentes et est probablement responsable de la survenance de phénomènes dégénératifs précoces tant au niveau de la cheville que du médiotarse (13). Ce mécanisme peut être partiellement compensé par l’accroissement du jeu articulaire au niveau de ces articulations.

La déformation ou « ball and socket » est une adaptation rare de l’articulation tibio-talienne qui accompagne certaines synostoses (Fig. 13), notamment les formes multiples, et peut être associée à une aplasie ou une hypoplasie de la fibula. Il s’agit d’un remodelage adaptatif, dû à l’enraidissement de la sous-talienne qui génère des mouvements anormaux d’inversion et d’éversion au niveau de la cheville. Cette adaptation permet parfois de retrouver une mobilité transversale impressionnante (51,70). TAKAKURA (62) a montré qu’elle était acquise avant l’âge de 5 ans et pas d’origine congénitale. Elle n’est pas spécifique des synostoses, mais bien d’un enraidissement de la sous-talienne (69).

L’émoussement des reliefs du dôme talien pourrait être une variante adaptative mineure liée aux mêmes mécanismes.

De même, les fractures de surcharge de la malléole interne et la position en valgus du dôme talien avec laxité ligamentaire traduisent également la présence de phénomènes de surcharge mécanique au niveau de cette articulation.

Retour au sommaire

Imagerie par CT-scan

Depuis le début des années 80, l’imagerie par tomographie computée a pris une place centrale dans le diagnostic des synostoses du tarse.

Rappelons tout d’abord que dans les barres CN, la radiographie conventionnelle permet le plus souvent le diagnostic. En outre, l’orientation du pont rend parfois difficile l’identification de la synostose en particulier dans les formes non osseuses (42).

A l’inverse, dans les barres TC ou multiples, cette technique est d’un apport essentiel dans le diagnostic et la caractérisation (type, localisation et étendue) de la lésion.

Les critères de diagnostic sont le plus souvent ceux cités par KUMAR (Tableau 3). On y ajoutera l’hypertrophie du sustentaculum et l’inclinaison médio-caudale de la facette moyenne déjà mentionnés plus haut (23,68). Le diagnostic des types I et II pose rarement des problèmes (31,68,42,69)(Fig. 14, 15, 16).

________________________________________________________________________

TABLEAU 3

________________________________________________________________________

CRITERES DIAGNOSTIQUES DANS L’IMAGERIE PAR CT-SCAN DES SYNOSTOSES TC. (d’après J. KUMAR et coll. (31))

________________________________________________________________________

TYPE I (synostose osseuse) :

- présence d’un pont osseux de la facette moyenne

TYPE II (synostose cartilagineuse) :

- pincement net de la facette articulaire moyenne et présence d’irrégularités corticales marginales

TYPE III (synostose fibreuse)

  • léger pincement de la facette moyenne, petites irrégularités corticales

________________________________________________________________________

 

La difficulté concerne les types III où les modifications sont parfois subtiles et d’interprétation délicate, d’autant plus si l’atteinte est bilatérale (31,68,42).

WARREN (68) rapporte quelques cas où l’injection d’un produit de contraste a permis un diagnostic plus aisé. Aucune autre étude consultée ne mentionne l’apport de l’arthro-scanner, ce qui ne permet pas d’en apprécier l’intérêt réel.

SALOMON et coll. (57) ont comparé les résultats d’un examen par CT-scan et d’une dissection sur 100 pieds de cadavres. Ils observent que le CT-scan spiralé a une mauvaise sensibilité et spécificité dans les synostoses osseuses et s’interrogent sur le retour à un examen par coupes classiques. De plus, dans ces lésions, ils constatent que chez l’adulte, les critères diagnostiques sont très semblables à ceux utilisés dans l’arthrose. Ceci pourrait expliquer la difficulté qu’il y a à poser le diagnostic de synostose fibreuse chez l’adulte par cette technique.

Notons que nous n’avons pas trouvé d’article concernant les reconstructions tridimentionnelles et leur éventuel intérêt dans l’évaluation morphologique et la localisation des synostoses ou dans l’attitude thérapeutique.

L’imagerie par CT-scan est donc d’un apport essentiel dans le diagnostic et le traitement des synostoses TC. Elle a remplacé l’incidence de HARRIS et BEATH dans cette indication. Elle reste cependant difficile d’interprétation dans certaines formes, ce qui peut justifier le recours à l’IRM ou à la scintigraphie.

Retour au sommaire

Imagerie par Résonance Magnétique

L’apparition de l’IRM a suscité un grand enthousiasme et fait espérer que ce moyen d’investigation permettrait un diagnostic précoce chez le jeune enfant ou plus aisé dans les lésions de type III, parfois si difficiles à dépister par CT-scan.

Plusieurs rapports font effectivement état de signes permettant de mettre en évidence ces coalitions. Si, dans les formes osseuses, il existe une continuité de la moelle osseuse au niveau de la zone fusionnée, dans les formes cartilagineuses ou fibreuses, ce sont le plus souvent des signes inflammatoires qui sont observés (42).

JAY (26) observe une augmentation du signal des deux extrémités dans les synostoses CN et des tissus mous environnants.

YU (71) confirme la présence d’une bande de signal d’intensité particulière au niveau de la coalition et pense que l’IRM est un bon moyen de distinguer entre formes osseuses et non osseuses.

NEWMAN (42) recommande d’utiliser les séquences en pondération T2 avec suppression de la graisse ou STIR images, afin d’identifier l’œdème de la moelle osseuse et les phénomènes inflammatoires qui sont fréquemment associés aux synostoses et aide ainsi à leur identification.

Deux études sur des petites cohortes (MASCIOCHHI (37) 4 cas et WECHSLER (69) 10 cas) font état de bons résultats dans le dépistage des synostoses et dans leur typage. (Remarque : un faux positif dans l’étude de WECHSLER = synovite). WECHSLER estime qu’il s’agit d’un moyen précoce et fiable de dépister les formes non osseuses.

Les résultats publiés par EMERY en 1998 (20) à propos d’une étude prospective concernant 40 pieds (15 barres) ne montre pas de différence dans l’aptitude de l’IRM par rapport au CT-scan dans le diagnostic des synostoses. Pourtant, 71 % de celles-ci étaient incomplètes. Les auteurs concluent que l’IRM est certes un bon moyen de diagnostic, mais qu’elle n’a pas fait la preuve d’une supériorité tout en étant nettement plus coûteuse.

Bien que nous n’ayons pas pu faire le tour de la littérature dans ce domaine en raison de son étendue, nous n’avons pas trouvé de résultat montrant la supériorité de l’IRM sur le CT-scan dans le diagnostic des synostoses. Il s’agit cependant d’une technique performante qui trouve une place de choix dans le dépistage délicat des lésions précoces ou de type III. Rappelons encore que la résolution spatiale de l’IRM reste un peu inférieure à celle du CT-scan.


Retour au sommaire

Imagerie par scintigraphie osseuse

 

La scintigraphie osseuse est assez peu utilisée dans le bilan diagnostique des synostoses. Pour certains auteurs, cet examen peut néanmoins venir compléter un bilan difficile.

KUMAR (31) l’utilise en cas de suspicion clinique avec un bilan radiologique négatif et un CT-scan mettant en évidence des signes minimes ne permettant pas de diagnostic de certitude. Il observe une légère augmentation de la captation dans la région de la facette moyenne (TC).

Outre l’irradiation, la scintigraphie présente l’inconvénient d’être peu spécifique et de manquer de précision anatomique. De plus, l’importante captation du traceur par les cartilages de croissance rend l’utilisation difficile avant la maturité du squelette (69).

Cet examen peut donc trouver sa place dans le cadre d’un bilan difficile mais ne fait pas partie du bilan classique des coalitions tarsiennes.

Retour au sommaire

  1. APPROCHE THERAPEUTIQUE

     

     

    La plupart des auteurs considèrent qu’avant d’envisager un traitement chirurgical il faut tenter un traitement conservateur. En cas d’échec, la seule issue est chirurgicale et consiste soit dans la résection de la synostose, soit dans une arthrodèse. Nous tâcherons de préciser quelles sont les indications de ces deux traitements et d’en évaluer les résultats. Nous terminerons en rappelant brièvement les techniques chirurgicales de résection.

     

    1. Traitement conservateur

      Si tout le monde en parle, il est assez mal codifié et surtout les résultats à court, et plus encore à moyen et long terme, sont rarement rapportés dans les études chirurgicales que nous avons consultées.

      1. Principe et modalités

A l’exclusion de l’abstention thérapeutique et de la surveillance clinique en cas de diagnostic fortuit ou de symptomatologie a minima (52), le but du traitement conservateur est de diminuer la mobilité des articulations sous-taliennes et médio-tarsiennes, et donc les contraintes du tarse, afin de réduire la douleur et les spasmes musculaires éventuellement associés (26,41).

La plupart des auteurs proposent un essai du traitement conservateur durant une période de 3 à 6 mois en fonction de la situation clinique.

Ce traitement fait appel aux moyens classiques :

  • mise au repos relative (bien difficile à obtenir à l’âge de l’adolescence et dont le principe à long terme paraît assez peu applicable) ;
  • physiothérapie ;
  • anti-inflammatoires par voie locale et/ou générale ;
  • injection locale de corticoïdes dépôt, en particulier au niveau du sinus du tarse dans les formes TC ;
  • adaptation des chaussures ;
  • port de semelles de soutien et d’orthèse de contention ;
  • strapping ;
  • immobilisation plâtrée.

 

Protocole de traitement conservateur proposé par COWELL (1983 (15)) en plus des moyens généraux :

  1. réalisation de semelles thermomoulées ;
  2. plâtre de marche durant 3 semaines suivi du port de semelles si évolution favorable ;
  3. en cas d’échec ou de récidive, nouvelle période d’immobilisation plâtrée de 3 semaines ;
  4. si récidive précoce, port d’une orthèse de contention du pied et de la cheville.

Pour de nombreux auteurs, l’immobilisation semble être le meilleur traitement conservateur (52,31,15,51). S’inspirant de leur propre expérience et du travail de BLOCKEY, ROGER et MEARY proposent dans les synostoses CN d’effectuer un testing sous anesthésie générale. Dans les cas où la contracture cède et si l’immobilisation peut être faite en position fonctionnelle, les résultats sont bons après un mois. Si la raideur persiste ou s’il existe des difficultés à placer le pied en bonne position, ils conseillent d’emblée la chirurgie. Force leur est cependant de constater que les situations intermédiaires sont nombreuses avec un pourcentage élevé de récidive après immobilisation amenant à discuter de l’indication chirurgicale en fonction de l’âge du patient et de l’intensité et de la durée des symptômes.

COWELL (15) et SCRANTON (56) observent également que les résultats du traitement sont les meilleurs quand le talon est en position neutre plutôt qu’en valgus.

Retour au sommaire

      1. Résultats

Les résultats obtenus par ces différents moyens thérapeutiques sont très variables. KUMAR (31) estime qu’un tiers des cas de barre TC répond au traitement conservateur .

Dans une autre série de synostoses CN (23), il constate que tous les patients opérés avaient eu un traitement conservateur avec échec, mais note que les cas les plus légers, qui ont répondu à ce traitement, ont été perdus et que les résultats exacts sont difficiles à apprécier.

ROUVREAU (52) observe 20 « bons à très bons » résultats sur 68 pieds (29 %) mais FUSON (21) n’en rapporte que 2 sur 28 (7 %).

Sur un groupe de 24 patients traités conservativement (31 pieds), TAKAKURA (61) observe que 8 pieds (26 %) restent douloureux et que 9 pieds (29 %) ont une nette restriction de mobilité. Lors du contrôle (délai moyen de 5,3 ans), les autres étaient asymptomatiques et aucun n’a nécessité d’autre traitement. Les résultats de ce groupe sont jugés comme « bons ou excellents » dans 69 % et « faibles à mauvais » dans 32 %. Les critères d’inclusion dans le groupe conservateur ne sont cependant pas précisés (Tableau 4).

SCRANTON, sur 23 pieds, ne rapporte que 5 bons résultats (22 %). BLOCKEY (déjà cité) constate 88 % de persistance de symptômes après traitement conservateur.

Au total, si le traitement conservateur est assez bien codifié dans ses principes et moyens, ses résultats sont assez modestes dans la plupart des études cliniques rapportées. Seuls 10 à 30 % de patients y répondent. En outre, nous n’avons aucune idée de l’évolution et du devenir à long terme de ces patients.

Retour au sommaire

    1. Traitement chirurgical
      1. Considérations générales

        Historiquement, l’hypothèse d’une étiologie neuromusculaire ou tendineuse dans le pied plat « spastique » associée aux synostoses a amené certains chirurgiens à pratiquer des allongements tendineux et des neurotomies mais sans résultat. Ces gestes sont tout à fait abandonnés depuis que la douleur et l’hyperpronation ont été identifiées comme facteurs responsables dans la genèse de ces pieds plats contracturés associés aux synostoses.

        Aujourd’hui, ce sont les arthrodèses et les résections qui sont devenues les traitements de choix dans ces pathologies.

        Initialement, la plupart des auteurs ont proposé d’effectuer des arthrodèses plutôt que des résections parce que ces dernières étaient délabrantes et qu’elles ne permettaient pas de restaurer la mobilité ni de corriger la déformation de l’arrière pied.

        Nous ne discuterons pas dans ces pages des techniques ou des résultats des arthrodèses. Ceux-ci sont largement connus et publiés, et sortent de l’objet de ce travail. Disons seulement que les résultats de ces arthrodèses, réalisées dans un contexte de synostose, sont généralement bons et comparables à ceux obtenus dans d’autres indications. D’autre part, les réserves faites concernant les restrictions de mobilité liées aux arthrodèses, en particulier l’accroissement des contraintes et du risque d’arthrose au niveau des articulations voisines (médio-tarse, Lisfranc et tibio-tarsienne) sont également valables ici. Ces conséquences sur la mobilité sont l’un des principaux motifs ayant incité les chirurgiens à tenter d’effectuer une résection des synostoses plutôt qu’une arthrodèse, dans l’espoir que la préservation des mobilités apporte à court et à long terme un meilleur résultat.

        Ainsi, de plus en plus de chirurgiens ont tenté, d’abord dans les formes CN, puis TC, d’effectuer des résections et d’en évaluer les résultats. Si dans l’ensemble ceux-ci sont assez satisfaisants, l’existence d’un pourcentage , presque constant, d’échecs de ce traitement a conduit à s’interroger sur les indications et les limites des résections, en particulier au niveau TC.

        Ce sont ces résultats que nous avons tenté de rassembler et d’analyser dans les pages suivantes.

        Retour au sommaire

      2. Résection des synostoses CN
    1. Résultats et indications

ROUVREAU et coll. (52) revoient une série de 24 cas de résection avec un recul moyen de 42 mois et constatent que cette intervention donne régulièrement d’excellents résultats. Ils définissent dès lors leurs indications comme suit :

  • pied non contracturé de longue date (plusieurs mois)
  • absence de signe d’arthrose sous-astragalienne (IRM)
  • absence d’autre synostose associée
  • âge inférieur à 12 ans
  • résection
  • large (espace CN >= 10 mm)

Cette notion de pied plat contracturé comme facteur péjoratif avait déjà été souligné par certains auteurs francophones à propos du traitement conservateur. Dans le cas présent, bien que relativement logique sur les plan théorique, le rôle péjoratif de ce facteur n’est pas explicité en terme de chiffres et de résultat. D’autre part, nous avons vu que ce type de pied était très fréquent en cas de synostose. Or, aucune étude anglo-saxonne ne rapporte de corrélation entre l’ancienneté d’un pied plat contracturé et des mauvais résultats après résection. Nous pensons dès lors qu’il s’agit d’un critère qui mérite notre attention, mais dont le caractère pertinent en cas de résection mériterait d’être documenté et discuté.

Les résultats des résections CN sont le plus souvent satisfaisants :

TABLEAU 5

  Nbre de pieds Bons + excellents

Résultats

Follow up

ALTER (1)

16

75 %

4,5 ans

GONZALEZ-

KUMAR (23)

75

77 %

> 10 ans
FUSON (21)

21

86 %

2 à 10 ans
MITCHELL-

GIBSON ( )

48

76 %

4 à 13 ans
SWIONTKOWSKI

(60)

39

90 %

4,6 ans

COHEN (11)

13

83 %

3 ans

 

Ces bons résultats d’ensemble doivent être tempérés par ceux d’une étude publiée par ANDREASON (2) en 1967 à propos du suivi à long terme (10 à 22 ans) de 30 pieds traités par résection et interposition. Parmi ceux-ci, 8 cas avaient nécessité une reprise par arthrodèse (27 %).

De plus, dans deux tiers des cas, il existait une récidive de la coalition, même lorsque le geste chirurgical avait été parfait. Enfin, 23 cas sur 24 présentaient des signes d’ostéo-arthrite du Chopart avant l’âge de 40 ans. Les auteurs se reconnaissant incapables de définir des critères de décision conseillaient dès lors l’arthrodèse pour tous. Ils oubliaient cependant les 43 % de patients qui, subjectivement, étaient satisfaits du résultat.

En 1990, GONZALEZ et KUMAR (23) constatent qu’il n’y a pas de détérioration des résultats au-delà de 10 ans (20 pieds). S’ils observent, eux aussi, des récidives partielles dans 22 % des cas, ils constatent que 68 % de celles-ci sont tout à fait asymptomatiques et 58 % gardent une mobilité sous-talienne satisfaisante. ALTER (1) observe lui aussi des récidives mais en association avec de mauvais résultats et liées à une résection incomplète.

ALTER constate que les bons résultats sont corrélés avec une bonne mobilité postopératoire de l’articulation sous-talienne, ce que note également ANDREASON (2) et SWIONTKOWSKI (60). Ce dernier note cependant que cette mobilité reste réduite par rapport au pied sain lorsque la comparaison est possible.

Selon LOUAHEM et coll. (35), la résection de la synostose CN pourrait redonner 75 à 100 % de la mobilité du couple de torsion. COHEN (11) observe que même chez l’adulte, la résection procure un gain de mobilité en pro-supination de l’ordre de 10 degrés.

MITCHELL et GIBSON de même que GONZALEZ et KUMAR (23) obtiennent les meilleurs résultats dans ces résections CN avant l’âge de 14-15 ans. Cependant, deux publications (FUSON (21) âge moyen de 41,3 ans et COHEN (11) âge moyen de 33 ans) rapportent de bons résultats chez l’adulte. Notons que dans l’étude de COHEN, aucun patient ne présentait d’atteinte arthrosique importante (pas de pincement articulaire) sauf celui ayant eu un mauvais résultat. L’association de mauvais résultats et de phénomènes arthrosiques nets est presque systématiquement retrouvé par les auteurs (MITCHELL, 60,52,1)

Avant de clore ce sujet, nous voudrions faire part de notre expérience personnelle et d’une étude qui nous semble fort intéressante.

Nous avions été frappé de constater que les synostoses CN pouvaient être très différentes dans leur taille et leur étendue. Certaines, petits ponts classiques entre le naviculaire et le calcanéum, étaient aisées à réséquer, d’autres paraissaient s’étendre loin en profondeur sous la tête et de col du talus rendant la résection beaucoup plus difficile et extensive.

Dans un véritable travail de bénédictin, COOPERMAN et coll. (14) retrouvent parmi 2982 squelettes, 37 cas de synostose. La réapproximation des pièces de l’arrière pied les amène à des constatations étonnantes qui sont résumées dans le tableau 6 et illustrées par la figure 17.

 

Tableau 6 : OBSERVATIONS ANATOMIQUES SUR SQUELETTE D’APRES COOPERMAN ET COLL. (14)

37 Synostoses (1 synostose osseuse, 36 non osseuses)

TYPE I : 8 pieds ont une facette antérieure du calcanéum supportant la tête du talus de manière normale

TYPE II : 7 pieds ont une facette antérieure partiellement remplacée par la partie naviculaire de la barre.

La tête du talus s’articule avec les interdigitations de la jonction CN

TYPE III : 22 pieds n’ont pas de facette antérieure. La facette naviculaire est fort large. Outre le soutien de la tête du talus, elle donne un important support dorso-médial ou cuboïde

 

 

Dans le type I, la synostose résulte probablement d’un simple défaut de segmentation des os de pieds par ailleurs normaux. Sa résection paraît classique et aisée. Par contre, dans le type II, et surtout dans le type III, il existe une malformation beaucoup plus étendue de l’arrière pied et du médiotarse. Dans ce cas, l’excision de la barre risque d’affecter la stabilité TC, CC et CN, d’aggraver ainsi les phénomènes douloureux et d’induire des phénomènes dégénératifs. De plus, la résection de ces lésions a toutes les chances d’être beaucoup plus difficile et incomplète.

En accord avec de nombreux auteurs, nous pensons que la résection des synostoses CN est l’indication première. Il s’agit d’une intervention relativement simple, qui améliore la mobilité du couple de torsion et supprime, le plus souvent, les symptômes douloureux. Les résultats en sont régulièrement bons. Les échecs de cette technique doivent nous faire préciser nos indications. A ce titre, les critères proposés par ROUVREAU nous semblent pour la plupart pertinents.

Enfin, l’étude de COOPERMAN permet de mieux comprendre l’anatomie de ces synostoses et d’espérer qu’une meilleure caractérisation de celles-ci, notamment par l’imagerie médicale, nous amène à un meilleur choix thérapeutique.

Retour au sommaire

  1. Technique chirurgicale (9,26)

La technique la plus souvent utilisée est dérivée de celle décrite par SLOMANN et BADGLEY (Fig. 18 a-h). L’intervention est réalisée sous garrot de cheville ou de cuisse, patient en décubitus dorsal, un coussin sous la fesse du côté opéré ou en décubitus controlatéral. Par une incision antéro-latérale en regard de la partie proximale du court extenseur des orteils (EDB), en avant du sinus du tarse et se prolongeant vers le naviculaire, après hémostase, et ouverture du fascia, on récline le muscle EDB distalement, ce qui révèle la synostose. Elle est prudemment dégagée, en évitant si possible d’ouvrir les articulations adjacentes. L’idéal est de réséquer en bloc environ 10 mm de la synostose. La résection est faite en plaçant l’ostéotome perpendiculaire à la corticale externe et en suivant le col du talus à la partie latérale de l’articulation talo-naviculaire.

Le second trait est effectué parallèlement, 10 mm latéralement par rapport au premier en essayant d’emporter un bloc rectangulaire (23). Les reliquats sont ôtés à la pince Gouge en vérifiant la mobilité des pièces osseuses. Il est essentiel d’effectuer une résection complète. Certains auteurs proposent d’effectuer une contre-incision interne dans les cas difficiles.

Afin de limiter le risque de récidive, de nombreuses interpositions ont été proposées (bone-wax, silicone, TFL, graisse). La technique la plus utilisée consiste à placer l’EDB dans la résection par un fil appuyé sur un bouton ou plus simplement au moyen d’une petite ancre.

Les tissus sont ensuite rapprochés et la peau suturée avec prudence en raison de sa fragilité. Tout au long de l’intervention, il faut veiller à ne pas léser les branches du nerf fibulaire superficiel dans la région dorso-médiale et le nerf sural dans la partie la plus postérieure.

De nombreux auteurs proposent une immobilisation plâtrée avec décharge de 3 semaines, suivie de 3 semaines de plâtre de marche. Nous pensons que chez l’enfant et l’adolescent, une attelle postérieure de décharge avec mobilisation quotidienne douce pendant 8 à 10 jours, suivie d’1 à 2 semaines de plâtre de marche puis d’une rééducation complète sont suffisants. Le port d’une attelle de type Aircast peut être utile. En cas d’hyperpronation, l’indication d’une semelle de soutien doit être discutée.

Retour au sommaire

      1. Résections dans les synostoses TC
        1. Résultats et indications

          Si la résection de la synostose s’est assez facilement imposée comme le traitement chirurgical de première intention dans bon nombre de barres CN, le traitement des coalitions TC reste beaucoup plus controversé.

          Historiquement, c’est l’arthrodèse sous talienne et la triple arthrodèse qui ont été privilégiées. En effet, la déformation fréquente de l’arrière pied, le contexte d’articulation portante et la présence de phénomènes dégénératifs associés ont fait craindre qu’une résection simple n’entraîne un échec thérapeutique. CHRESTIAN et coll. (9) résument assez bien cette pensée en disant que le but premier du traitement chirurgical est de supprimer la douleur et le second de restaurer la mobilité. La résection du pont osseux offre la possibilité de récupérer une mobilité de l’arrière pied particulièrement utile en terrain irrégulier, mais au risque de déstabiliser l’arrière pied. Il insiste sur l’analyse du valgus préopératoire du calcanéum car il pense que celui-ci ne peut que s’aggraver et amener un déchaussage du pied en-dessous de l’axe jambier. Ces deux objectifs ne sont donc pas toujours compatibles ; dès lors, l’indolence prime sur la mobilité. Si le raisonnement se tient parfaitement, les critères de décision font cependant défaut.

          A l’inverse de la littérature francophone qui reste assez largement en faveur de l’arthrodèse dans les atteintes TC, de nombreuses publications anglo-saxonnes rapportent de bons résultats après résection de la synostose (Tableau 7)

           

           

          TABLEAU 7 : RESULTATS APRES RESECTION POUR SYNOSTOSE TC

           

             

          Nbre de pieds

          Bons/excellents Recul
          KUMAR (31)

          1992

          18 pieds

          89 %

          4 ans

          SALOMAO (54)

          1992

          33 pieds

          78 %

          25 mois

          OLNEY (43)

          1987

          10 pieds

          80 %

          -

          TAKAKURA (61)

          1990

          33 pieds

          88 %

          5,3 ans

          SCRANTON (56)

          1987

          14 pieds

          93 %

          3,9 ans

           

           

          OLNEY (43) constate que la résection permet de récupérer une mobilité égale à 80 - 90 % par rapport au côté sain. Ses deux mauvais résultats sont attribuables à une résection insuffisante.

          TAKAKURA (61) retrouve un gain de mobilité chez 77 % des patients, les meilleurs résultats étant obtenus avant l’âge de 15 ans. Aucun n’a de limitation des activités sportives et de la course même si radiologiquement 18 % des résections ont été incomplètes. Il estime qu’il s’agit du traitement idéal chez l’enfant et l’adolescent et que seule la présence d’arthrose doit conduire à réaliser une arthrodèse.

          SALOMAO (54) retrouve les bénéfices de la résection sur la douleur (indolence dans 78 %) et le gain en mobilité (75 %). Il réalise une large capsulotomie avec section du ligament en Y et observe une correction partielle de la déformation préopératoire de l’arrière pied dans 69 % des cas. (Remarque : largeur moyenne de la synostose dans cette série : 13 mm [9 à 16,4]).

          Tous ces bons résultats ne doivent pas masquer l’existence constante d’échecs et les difficultés liées à la résection de certaines de ces synostoses.

          SCRANTON est le premier à décider arbitrairement de ne réséquer que les synostoses TC dont l’étendue est inférieure à 50 % de la surface articulaire. Ses résultats sont bons, mais d’interprétation difficile tant les critères d’évaluation des résultats sont vagues et leur présentation confuse.

          WILDE (70) propose d’évaluer l’étendue de la synostose par mesure de la largeur de celle-ci sur des coupes frontales successives faites par CT-scan. Afin d’éviter les variations liées à la taille du patient, il rapporte la mesure de la synostose (C) à celle de la facette postérieure (PF) et obtient ainsi le rapport C/PF . Il mesure aussi le valgus du calcanéum de manière semblable (Fig. 19 ).

          En analysant ses résultats à propos de 20 pieds, il trouve 10 bons résultats qui se maintiennent au-delà de 9 ans et 10 mauvais résultats d’apparition précoce (persistance spasme des fibulaires, pied plat valgus rigide). Dans 2 cas, la résection était insuffisante. Aucun lien n’est observé avec le sexe, l’âge, la durée des symptômes ou l’existence d’antécédents chirurgicaux. Il confirme que la présence d’un « talar beaking » n’est pas un critère péjoratif (présent dans 70 % des bons résultats) (Fig. 20-c). Par contre, il observe une corrélation significative entre les mauvais résultats et un rapport C/PF supérieur à 50% (Fig. 20-a), un valgus calcanéen de plus de 16° (Fig. 20-b) et la présence préopératoire de signes d’arthrose. Notons au passage qu’il n’observe pas d’aggravation du valgus du talon après résection. Il propose donc de limiter les indications de résection aux cas où la synostose représente moins de 50 % de la facette postérieure et en l’absence de signes arthrosiques.

          Dans une étude du même type à propos de 20 cas, COMFORT et coll. (13) modifient le critère d’évaluation en rapportant la taille de la synostose à la totalité de la surface articulaire sous talienne (C/AMF + PF) (Fig. 21). Ainsi, il constate que lorsque ce rapport est inférieur à 1/3, il obtient les meilleurs résultats (p < 0,05) (77 % excellents résultats) (Fig. 22 ). Au plus la synostose est étendue et au plus le résultat est mauvais. Aucune relation n’est observée avec les autres facteurs. La position en varus du talon (4 cas) semble de mauvais pronostic (3 échecs), mais tous les cas présentaient une synostose fort étendue (>= 1/3). A noter que 19 des synostoses étaient limitées à la facette moyenne, mais il s’agit là de la situation la plus fréquente.

          En analysant les critères de SCRANTON et WILDE et en les comparant à ses propres résultats, COMFORT constate que le premier est beaucoup trop large puisqu’il inclut tous les cas y compris les mauvais résultats. Celui de WILDE lui paraît trop étroit car il aurait conduit à l’arthrodèse dans 80 % de ses cas alors que beaucoup ont eu d’excellents résultats. COMFORT propose donc de limiter l’indication de résection à 1/3 de la surface sous talienne totale.

          En 1998, LUHMANN et SCHOENECKER (36) publient les résultats d’une série de 25 résections TC. Utilisant les mêmes techniques de mesure par CT-scan, ils retrouvent une corrélation significative entre la surface de la synostose et les bons résultats (C/PF < 50 %) ainsi qu’avec le valgus du talon (Vg < 21 %) (Fig. 23 et 24). Ils notent cependant que ces critères ne sont pas absolus puisque certains patients ont un bon ou excellent résultat bien qu’ils ne les respectent pas. Ils conseillent donc de s’en servir comme guide, tout en restant souple et critique dans les indications. Les différences de résultats par rapport à l’étude de COMFORT et coll. pourraient être liées à des séries de petite taille et, pour le valgus calcanéen, à des mesures faites en décharge. Notons encore que dans cette étude la présence d’un pincement modéré de la facette postérieure n’a pas eu de retentissement sur les résultats à court terme.

          Tous les patients ont eu une amélioration de la mobilité de l’ordre de 50 % sans aggravation notoire de la déformation de l’arrière pied. En cas de valgus préopératoire prononcé, les auteurs proposent soit le port d’une semelle de correction, soit un geste chirurgical associé (ostéotomie calcanéenne ou allongement de la colonne latérale).

           

          Compte tenu de l’ensemble de ces résultats, nous pensons que dans les atteintes TC limitées et isolées, la résection de la synostose est un traitement valable qui redonne une mobilité à l’arrière pied tout en étant efficace sur la douleur. Les complications sont peu nombreuses et le plus souvent bénignes (36). La résection de la synostose n’entraîne pas d’aggravation systématique de la déformation et permet d’espérer éviter les conséquences à long terme des arthrodèses. Plusieurs publications récentes ont permis d’établir une corrélation entre l’étendue de la synostose ou l’importance du valgus calcanéen mesurés par CT-scan et les résultats postopératoires. Ces deux critères ont dès lors leur place dans la décision thérapeutique et le choix entre résection et arthrodèse.

          L’arthrodèse reste indiquée en cas d’arthrose nette ou de déformation majeure. Elle est la technique de sauvetage en cas d’échec.

          Retour au sommaire
           

        2. Technique chirurgicale (9,31,43) (Fig. 25 a-e)

Le patient est installé en décubitus dorsal avec garrot au niveau de la cuisse. Par un abord interne adapté à la localisation de la synostose, mais qui est situé à peu près sur le trajet du FL.C.O., on réalise une hémostase des veines sous cutanées.

Après ouverture de l’aponévrose médiale, le paquet vasculo-nerveux est repéré et récliné caudalement. Les tendons sont identifiés. La difficulté est alors d’identifier les limites de la synostose en retrouvant la fente articulaire. La lésion est le plus souvent localisée au sustentaculum tali. Le tendon LFHx passe dans un sillon situé 4 à 5 mm sous la facette moyenne et peut aider à repérer celle-ci. L’espace articulaire peut être identifié par la mise en place de deux aiguilles de part et d’autre de la synostose, avec l’aide de la scopie. La synostose est alors pelée progressivement jusqu’à faire apparaître l’espace articulaire normal, en effectuant la résection plus aux dépens du talus que du calcanéum. On vérifie alors le jeu articulaire. Les tranches osseuses peuvent être recouvertes de bone-wax. Certains auteurs interposent du tissu graisseux, du silicone ou le LFlI afin de réduire le risque de récidive. KUMAR (31) estime que cette technique est la meilleure.

D’autres proposent dans les cas difficiles un abord externe complémentaire afin de faciliter le repérage de la synostose et sa résection. Notons encore que SALOMOA (54) effectue une capsulotomie complète avec section du ligament interosseux, ce qui semble risqué sur le plan de la stabilité ultérieure de la sous talienne.

Les plans capsulaires et tendineux sont ensuite soigneusement refermés.

En postopératoire, la plupart des auteurs proposent une décharge relative de 2 à 3 semaines avec mobilisation précoce suivie d’une reprise progressive de l’appui sous protection d’un plâtre ou d’une orthèse de contention de la cheville et de l’arrière pied (9,31,6043).

La mobilisation doit être quotidienne, douce et non douloureuse, passive puis active. Elle est destinée à restaurer les mouvements de l’arrière pied et à entretenir ceux de la cheville. Une semelle de soutien sera prescrite en cas de déformation résiduelle de l’arrière pied.

Retour au sommaire

CONCLUSION

 

Arrivé au terme de ce travail, notre satisfaction principale est d’avoir le sentiment d’y voir un peu plus clair face à cette pathologie peu fréquente, mais relativement complexe.

A la lecture de plusieurs publications, nous avons l’impression que leur fréquence dans la population générale pourrait être plus importante que les 1 à 2 % le plus souvent rapporté. En effet, il semble bien qu’un certain nombre de ces ponts osseux soient bien tolérés et constituent alors une simple variante anatomique.

Si le diagnostic de ces lésions est parfois simple en présence du typique pied plat valgus contracturé du jeune adolescent, plusieurs autres tableaux cliniques sont insidieux. Dans ce cas, c’est l’attention, l’interrogatoire et la recherche clinique d’un enraidissement plus ou moins douloureux de la sous-talienne qui conduiront à la suspicion de synostose.

Le bilan complémentaire doit toujours débuter par des radiographies conventionnelles tant pour exclure d’autres affections que parce que de nombreuses synostoses sont déjà parfaitement visibles sur les clichés standard. Certains signes indirects témoignant d’un défaut de mobilité ou de position de l’arrière pied permettent de renforcer la conviction du clinicien et incitent à poursuivre le bilan. L’examen par CT-scan reste le moyen de choix dans le dépistage et la caractérisation des synostoses. Dans les formes TC, il joue également un rôle important dans la décision chirurgicale. L’IRM peut être d’un apport très utile dans le diagnostic parfois difficile des formes incomplètes grâce à la possibilité qu’elle offre de mettre en évidence l’œdème osseux et l’inflammation des tissus mous périphériques.

Si le diagnostic de ces barres est difficile, le choix thérapeutique l’est tout autant. Tout le monde s’accorde sur l’importance d’un traitement conservateur surtout axé sur la réduction des contraintes et des phénomènes douloureux qui en découlent. Le succès de ce traitement est hélas assez modeste et ne semble pas dépasser 1/3 des patients.

Pour les autres, la solution est chirurgicale. Aujourd’hui, l’arthrodèse n’est plus la seule technique utilisable. Au contraire, c’est la résection qui dans de nombreux cas est devenue l’indication de choix. Son taux de succès est élevé et reproductible tant dans les formes CN que TC. Cependant, l’existence constante d’échecs impose la vigilance dans les indications. Au niveau CN, la description de ponts osseux associant défaut de segmentation et malformation des articulations talo-calcanéo-naviculaires permet de mieux comprendre les difficultés techniques de certaines résections et l’échec observé dans certains cas. La confirmation de ces variantes et leur mise en évidence par imagerie paraît être la voie à suivre vers de meilleurs résultats. Dans les atteintes TC, le CT-scan permet de préciser l’étendue de la barre. Plusieurs critères ont été utilisés. Aucun n’est parfait, mais ils sont d’un réel intérêt et permettent de penser que la limite de résection se situe aux environs d’1/3 de la surface sous-talienne.

 

En cas d’échec d’une résection, en présence de phénomènes dégénératifs et dans les formes multiples ou sévères et de longue évolution, l’arthrodèse reste l’indication chirurgicale de choix, avec les mêmes succès et les mêmes inconvénients que dans d’autres situations pathologiques.

Les synostoses du pied sont un sujet passionnant autant que complexe. La multitude des formes anatomiques et des présentations cliniques est intellectuellement très stimulante, mais c’est surtout parce que ces lésions touchent, le plus souvent, de jeunes adolescents en plein développement que leur avenir fonctionnel nous importe et que notre rôle de thérapeute compétent mais aussi compatissant trouve sa juste place.

Retour au sommaire

 BIBLIOGRAPHIE

 

  1. ALTER SA, MENDICINO S, McCARTHY BE, DISTAZIO J
    Calcaneonavicular bar resection : a retrospective study.
    J Foot Ankle Surg 1991; 30(4): 382-9
     
  2. ANDREASEN E.
    Calcaneonavicular Coalition. Last result of resection.
    Acta Orthop Scandinav 1968; 39: 433-38
     
  3. BARROSO JL, BARRIGA A, BARRECHEGUREN EG, VILLAS C, BEGUIRISTAIN JL.
    Congenital synostoses of the tarsus. Concept, classification, diagnosis and therapeutic approach.
    Rev Med Univ Navarra 2001 Jan-Mar; 45(1):43-52
     
  4. BHALAIK V, CHHABRA S, WALSH HP.
    Bilateral coexistent calcaneonavicular and talocalcaneal tarsal coalition : a case report.
    J Foot Ankle Surg 2002; 41(2):129-34
     
  5. BLAKEMORE LC, COOPERMAN DR, THOMPSON GH.
    The rigid flatfoot. Tarsal coalitions.
    Clin Podiatr Med Surg 2000 Jul; 17(3): 531-55
     
  6. BOHNE WH.
    Tarsal coalition.
    Curr Opin Pediatr 2001 Feb; 13(1): 29-35. Review.
     
  7. BROWN RR, ROSENBERG ZS, THORNHILL BA.
    The C Sign : more specific for flatfoot deformity than subtalar coalition.
    Skeletal Radiology 2001; 30(2): 84-87
     
  8. CASTELLET FELIU E.
    Cubonavicular synostosis. A case report.
    Acta Orthop Belgica 1991; 57(3):306-8
     
  9. CHRESTIAN PP, HADDAD H, GHAFFAR A, SARRAT P.
    Le chirurgien face aux synostoses du tarse postérieur de l’adolescent dans la pratique courante.
    Monographies de podologie. 15 :131-140. Masson Ed. Paris, 1994
     
  10. CLARKE DM.
    Multiple tarsal coalition in the same foot.
    J Pediatr Orthop 1997; 17(6):777-80
     
  11. COHEN BE, DAVIS WH, ANDERSON RB.
    Success of calcaneonavicular coalition resection in the adult population.
    Foot Anke Int 1996; 17(9): 569-572.
     
  12. COHEN AH, LAUGHNER TE, PUPP GR.
    Calcaneonavicular bar resection. A retrospective review.
    J Am Podiatr Med Assoc 1993; 83(1): 10-7.
     
  13. COMFORT TK, JOHNSON LO.
    Resection for symptomatic talocalcaneal coalition.
    J Pediatr Orthop 1998; 18(3): 283-8.
     
  14. COOPERMAN DR, JANKE BE, GILMORE A, and al.
    A three-dimensional study of calcaneonavicular tarsal coalitions.
    J Pediatr Orthop 2001; 21(5): 648-51.
     
  15. COWELL HR, ELENER V.
    Rigid painful flatfoot secondary totarsal coalition.
    Clin Orthop 1983; 177: 54-60.
     
  16. DAUMAS L, MORIN C, LEONARD JC.
    Les synostoses congénitales du tarse.
    Arch Pediatr 1996; 3 : 900-5.
     
  17. DI LIDDO PE, RIVARD DS, MEHLER AS, WERTHEIMER SJ.
    Resection of talocalcaneal middle facet coalition. Interposition with a tensor fascia lata allograft : a case report
    J Foot Ankle Surg 2000; 39(5): 336-340.
     
  18. DOWNEY MS
    Tarsal coalitions. A surgical classification.
    J Am Podatr Med Assoc 1991; 81(4) : 187-97.
     
  19. DUTOIT M.
    Talocalcaneal bar resection.
    J Foot Ankle Surg 1998; 37(3): 199-203.
     
  20. EMERY KH, BISSET GS, JOHNSON ND, NUNAN PJ.
    Tarsal coalition : a blinded comparison of MRI and CT.
    Pediatr Radiol 1998; 28: 612-16.
     
  21. FUSON S, BARRET M.
    Resectional arthroplasty : treatment for calcaneonavicular coalition.
    J Foot Ankle Surg 1998; 37(1): 11-5.
     
  22. GESSNER AG, KUMAR SJ, GROSS GW.
    Tarsal coalition in pediatric patients.
    Semin Musculoskelet Radiol 1999; 3(3): 239-246.
     
  23. GONZALEZ P, KUMAR SJ.
    Calcaneonavicular coalition treated by resection and interposition of the extensor digitorum brevis muscle.
    J Bone Joint Surg Am 1990; 72(1): 71-7.
     
  24. GREEN MR and YANKLOWITZ B.
    A symptomatic naviculocuneiform synostosis with a ganglion cyst.
    J Foot Ankle Surg. 1993; 32(1):271-5.
     
  25. HARDY J, POULIQUEN JC.
    Un bec calcanéen trop long.
    Rev Chir Orthop 1983; 69: 567-572.
     
  26. JAY RM, FELDMAN G, COLLIER D.
    Soft tissue calcaneonavicular coalition.
    Pediatric Foot and Ankle Surgery : 236-43. Saunders Ed. Philadelphia, 1999.
     
  27. KELO MJ, RIDDLE DL.
    Examination and management of a patient with tarsal coalition.
    Phys Ther 1998; 78(5):518-25
     
  28. KULIK SA Jr, CLANTON TO.
    Tarsal coalition.
    Foot Ankle Int 1996; 17(5): 286-96.
     
  29. KUMAI T, TAKAKURA Y, AKIYAMA K, and al.
    Histopathological study of non-osseous tarsal coalition.
    Foot Ankle Int 1998 Aug; 19(8): 525-31.
     
  30. KUMAI T, TANAKA Y, TAKAKURA Y, TAMAI S.
    Isolated First Naviculocuneiform joint coalition
    Foot Ankle Int 1996; 17(10): 635-40
     
  31. KUMAR SJ, GUILLE JT, LEE MS, COUTON JC.
    Osseus and non-osseus coalition of the middle facet of the talocalcaneal joint.
    J Bone Joint Surg 1992; 74A(4) :529-35.
     
  32. LAFFENETRE O, MOINARD M, AUROVER N, SOUSSOTTE C, HAUBER O, DIARD F, CHAUVEAUX D.
    Synostoses congénitales du pied.
    Imagerie du pied et de la cheville : 239-248. Sauramps Ed. Montpellier, 2002.
     
  33. LATEUR LM, VAN HOE LR, VAN GHILLEWE KV, and al.
    Subtalar coalition : diagnosis with the C sign on lateral radiographs of the ankle.
    Radiology 1994; 193(3): 847-51.
     
  34. LASDAY SD, PACHUDA N.
    Tarsal coalition.
    Pediatric Foot and Ankle Surgery : 225-235. Saunders Ed. Philadelphia, 1999.
     
  35. LOUAHEM D, MERCIER M, FLORENSA G, DIMEGLIO A.
    Les synostoses des os du tarse.
    Actualités en Méd. et Chir. du pied. 165-169. Masson Ed. Paris, 1993.
     
  36. LUHMAN SJ, SCHOENELKER PL.
    Symptomatic talo calcaneal coalition resection : indications and results.
    J Pediatr Orthop 1998; 18:748-54
     
  37. MASCIOCCHI C, D’ARCHIVIO C, BARLIE A, and al.
    Talocalcaneal coalition : computed tomography and magnetic resonance imaging diagnosis.
    Eur Radiol 1992; 15:22-5.
     
  38. Mc MINN RMH, HUTCHINGS RT.
    Color atlas of human anatomy : 287-90.
    Year book medical Ed. Chicago, 1988.
     
  39. MC CORMACK TJ, OLNAY B, ASHER M.
    Talocalcaneal coalition resection : a 10-year follow-up.
    J Pediatr Orthop 1977; 17: 13-15.
     
  40. METAIZEAU JR
    Malpositions et malformations congénitales du pied de l’enfant.
    EMC – Appareil locomoteur. 15-380-A10 – 2000.
     
  41. MOSIER KM, ASHER MA.
    Tarsal coalitions and peroneal spastic flat foot : a review.
    J Bone Joint Surg 1984; 66-A: 976-84.
     
  42. NEWMAN JS, NEWBERG AH.
    Congenital tarsal coalition : multimodality evaluation with emphasis on CT and MR imaging.
    Radiographics 2000; 20: 321-32.
     
  43. OLNEY BW, ASHER MA.
    Excision of symptomatic coalition of the middle facet of the talocalcaneal joint.
    J Bone Joint Surg 1987; 69-A : 539-44
     
  44. O’NEILL DB, MICHELI LJ.
    Tarsal coalition. A follow-up of adolescent athletes.
    Am J Sports Med 1989; 17(4): 544-9.
     
  45. PACHUDA NM, LASDAY SD, JAY RM.
    Tarsal coalition : etiology, diagnosis and treatment.
    J Foot Surg 1990; 29(5): 474-88.
     
  46. PIQUERES X, de ZABALA S, TORRENS C, and al.
    Cubonavicular coalition : a case report and literature review.
    Clin Orthop 2002; (396): 112-4.
     
  47. PONTIOUS J, HILLSTROM HJ, MONAHAN T, and al.
    Talonavicular coalition. Objective gait analysis.
    J Am Podiatr Med Assoc 1993; 83(7): 379-85.
     
  48. POULIQUEN JC, DURANTHON DL, GLORION C, and al.
    Too long antero-medial process of the calcaneus. A study of 59 cases in 37 children and adolescents.
    Rev Chir Orthop 1997; 83(7): 658-64.
     
  49. RANKIN EA and BAKER G.
    Rigid flatfoot in the young adult.
    Clin Orthop. 1974; (104):244-8.
     
  50. RICHARDSON EG
    Tarsal coalition.
    Campbell’s operative orthopaedic’s : 2715-28. Mosby Ed. St Louis, 1992.
     
  51. ROGER A, MEARY R.
    Les synostoses des os du tarse. A propos de 41 cas.
    Rev Chir Orthop 1969; 55: 521-41.
     
  52. ROUVREAU P, POULIQUEN JC, LANGLAIS J, and al.
    Synostosis and tarsal coalitions in children. A study of 68 cases in 47 patients.
    Rev Chir Orthop 1994; 80(3): 252-60.
     
  53. SAKELLARIOU A, CLARIDGE RJ.
    Tarsal coalition.
    Orthopedics 1999; 22(11): 1066-73.
     
  54. SALOMAO O, NAPOLI MM, DE CARVALHO AE Jr, FERNANDES TD, MARQUES J, HERNANDEZ AJ.
    Talocalcaneal Coalition : Diagnosis and surgical management.
    Foot Ankle Int. 1992; 13(5): 251-6.
     
  55. SARRAFIAN SK
    Anatomy of the foot and ankle : 37-112.
    Lippincot Ed. Philadelphia, 1993.
     
  56. SCRANTON PE Jr.
    Treatment of symptomatic talocalcaneal coalition.
    J Bone Joint Surg (Am) 1987; 69-A: 533-9.
     
  57. SOLOMON LB, RUHLI FJ, TAYLOR J, FERRIS L, POPE R, and al.
    A dissection and computer tomograph study of tarsal coal in 100 cadaver feet.
    J Orthop Res 2003; 21(2): 352-8.
     
  58. STUECKER R, BENNETT J.
    Tarsal coalition presenting as a pes cavo-varus deformity : report of three cases and review of the literature.
    Foot Ankle Int 1993; 14(9): 540-4.
     
  59. SULLIVAN JA.
    Pediatri flatfoot : evaluation and management.
    J Am Acad Orthop Surg 1999; 7(1): 44-53.
     
  60. SWIONTKOWSKI MF, SCRANTON PE Jr., HANSEN S.
    Tarsal coalition long-term results of surgical treatment.
    J Pediatr Orthop 1983; 3: 287-92.
     
  61. TAKAKURA Y, SUGIMOTO K, TANAKA Y, TAMAI S.
    Symptomatic talocalcaneal coalition : its clinical significance and treatment.
    Clin Orthop Rel Res 1991; 269: 249-56
     
  62. TAKAKURA Y, TANAKA Y, KUMAI T, and al.
    Development of the ball-and-socket ankle as assessed by radiography and arthrography. A long-term follow-up report.
    J Bone Joint Surg 1999; 81(6) : 1001-4
     
  63. TANAKA Y, TAKAKURA Y, AKIYAMA K, KAMEI S, NUKATA M, TAMAI S.
    Fracture of the tarsal navicular associated with calcaneonavicular coalition : a case report.
    Foot Ankle Int 1995; 16(12): 800-2.
     
  64. THEMAR-NOEL Ch, SOUCHET Ph, DESGRIPPES Y, BENSAHEL H.
    Aspect clinique et imagerie des synostoses du tarse postérieur.
    Monographies de podologie. 15 :125-30. Masson Ed. Paris, 1994.
     
  65. THOMETZ J.
    Tarsal coalition.
    Foot Ankle Clin 2000; 5(1): 103-18.
     
  66. VARNER KE, MICHELSON JD.
    Tarsal coalition in adults.
    Footankle Int 2000; 21(8):669-72.
     
  67. VINCENT KA.
    Tarsal coalition and painful flatfoot.
    J Am Acad Orthop Surg 1998; 6(5): 274-81.
     
  68. WARREN MJ, JEFFREE MA, WILSON DJ, and al.
    Computed tomography in suspected tarsal coalition. Examination of 26 cases.
    Acta Orthop Scand 1990; 61(6): 554-7
     
  69. WECHSLER RJ, SCHWEITZER ME, DEELY DM, and al.
    Tarsal coalition : depiction and characterization with CT a MR imaging.
    Radiology 1994; (2): 447-52.
     
  70. WILDE PH, TORODE LP, DICKENS DR, COLE WG.
    Resection for symptomatic talocalcaneal coalition.
    JBJS 1994; 76-B(5) : 797-801.
     
  71. YU J, VITELLAS K.

The calcaneus : applications of magnetic resonance imaging.
Foot Ankle Int 1996; 17(12): 771-780.

Retour au sommaire